Zi de zi, salvamontiștii sunt cei care pornesc spre munte atunci când alții nu mai pot continua. De această dată, Salvamont România face un apel public pentru unul dintre oamenii săi, un tânăr salvator care se confruntă cu o luptă dureroasă, departe de crestele pe care le-a străbătut pentru a salva vieți.
Redăm mai jos, integral, apelul umanitar transmis de Salvamont România:
„Apel umanitar urgent – salvatorii au nevoie, la rândul lor, de sprijin.
Pentru Ștefan, muntele a fost dintotdeauna acasă, iar salvarea de vieți o misiune asumată cu responsabilitate și curaj. Astăzi, însă, se află în fața unui obstacol pe care nu îl poate depăși singur. Geană Ștefan, salvamontist din Sinaia, în vârstă de doar 30 de ani, cunoscut pentru numeroasele intervenții prin care a readus oameni în siguranță de pe crestele Bucegilor, duce acum cea mai grea luptă a vieții sale.

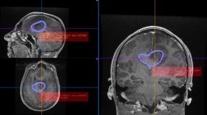
Diagnosticul primit este unul extrem de sever: o tumoră cerebrală agresivă. Din păcate, complexitatea cazului face imposibilă realizarea intervenției necesare în sistemul medical de stat din România. Timpul este un factor critic, iar medicii au fost cât se poate de clari: fără o intervenție chirurgicală de urgență, șansele de supraviețuire sunt minime. Singura opțiune viabilă rămâne o clinică privată specializată, însă costurile operației și ale tratamentului depășesc cu mult posibilitățile sale financiare. Pentru a putea continua demersurile medicale, mai este necesară o sumă de aproximativ 10.000 de euro.
Ștefan a fost, ani la rând, cel care a vegheat asupra noastră pe potecile muntelui. Astăzi, este rândul nostru să nu îl lăsăm singur în fața acestei încercări. Orice contribuție, indiferent de valoare, reprezintă un pas concret spre viață pentru el. Sprijinul poate fi oferit prin donație, sponsorizare sau redirecționare, accesând platforma oficială Salvamont România: https://www.salvamontromania.ro/vreau-sa-ajut.php
. De asemenea, distribuirea acestui apel poate ajunge la persoana sau instituția care va face diferența decisivă.
Ștefan a salvat zeci de vieți. Singura viață pe care nu o poate salva singur este, acum, propria lui viață. Vă rugăm să îi fiți alături și să îi oferim, împreună, șansa de a se întoarce pe munte și de a se bucura de anii care îi stau înainte.
Vă mulțumim pentru solidaritate și sprijin.”
Acum, când unul dintre cei care ne-au fost sprijin pe munte are nevoie de ajutor, solidaritatea poate face diferența dintre speranță și deznădejde.



